En este artículo se hace mención de la literatura además del reporte de un caso clínico de talón cuspídeo en un paciente pediátrico. Asimismo se describen sus características e implicaciones funcionales, estéticas y opciones terapéuticas para su manejo clínico más conservador, resaltando la importancia del manejo interdisciplinario de estos rasgos morfológicos dentro de la odontología.

Palabras clave: talon cuspídeo, anomalía, morfología, diente.

El término talón cuspídeo hace referencia a un rasgo morfológico coronal considerado como una rara anomalía de desarrollo de los dientes anteriores.1 Su primer antecedente fue descrito por Mitchel en 1892 como una anomalía palatina de un incisivo central superior. Mellor y Ripa en 1970 lo denominaron talón cuspídeo ya que la forma les recordaba a la garra de un águila. Henderson en 1977 describió por primera vez un caso de talón cuspídeo en un diente temporal.2,3

Su etiología es desconocida, pero se le asocia a factores genéticos y ambientales. También puede encontrarse asociado con síndromes como Morh, Sturge-Weber, Rubinstein- Taybi, hipomelanosis de Ito, Ellis-Van Crevald, labio y paladar hendido. Su origen multifactorial ocurre durante la fase de morfodiferenciación dental en la cual las células del epitelio interno del órgano del esmalte se pueden plegar hacia afuera y de esta forma desarrollar hiperplasias focales a partir de células periferias mesenquimales de la papila dental.1 

La prevalencia varía en diferentes estudios con rangos de 1 a 7%, según Attur la frecuencia es de 00.01 a 10%, siendo la dentición permanente 3 veces más afectada que la dentición temporal y los hombres tienen más alta predilección que las mujeres.4

Existen diferentes clasificaciones para esta anomalía, pero la más utilizada es la de Hattab, y se basa en su forma y grado de extensión, yendo de mayor a menor complejidad: 

Tipo 1. Talón verdadero: Cúspide adicional bien delimitada en la superficie palatina de dientes anteriores temporales y/o permanentes, la cual se extiende desde la unión amelocementaria hasta el borde incisal.

Tipo 2. Semitalón: Cúspide adicional de un milímetro o más que se extiende menos de la distancia desde la unión amelocementaria hasta el borde incisal. Puede estar separada o mezclada con la superficie palatina de la corona.

Tipo 3. Vestigio de talón o talón esbozado. Es un cíngulo prominente que se puede presentar de forma cónica, bífida o parecida a un tubérculo.5,6,7

Clínicamente se caracteriza por la presencia de una cúspide adicional en la superficie palatina de un diente. Esta condición puede afectar tanto a los dientes temporales como a los permanentes, puede estar presente en uno o varios dientes y puede ser unilateral o bilateral. En el caso específico de los dientes temporales, el talón cuspídeo puede presentarse en diferentes formas y tamaños, lo que puede tener implicaciones clínicas significativas. 

La presencia de un talón cuspídeo puede afectar la función masticatoria y la oclusión dental. Puede influir en la forma en que los dientes se articulan entre sí y pueden desempeñar un papel en la distribución de las fuerzas de masticación.4,5 Además, puede tener implicaciones clínicas, ya que puede dificultar la limpieza adecuada de los dientes y aumentar el riesgo de acumulación de placa.6,8

El reconocimiento y la comprensión de esta anomalía son fundamentales para el diagnóstico preciso y el tratamiento adecuado de los pacientes pediátricos.9 El tratamiento puede variar desde no ser neceario, o a extensos tratamientos; en caso de tratarse de un diente temporal inmaduro, al completar la reducción de la cúspide se realiza la pulpotomía con hidróxido de calcio para promover el cierre apical. 

Aplicación de selladores de fosetas y fisuras. Remoción parcial del talón con aplicación de tratamiento restaurativo con resina en caso de generar trauma en lengua o labio inferior durante la fonación y masticación. 

Preferiblemente después de la formación completa de la raíz, tratamiento endodóntico, si existe compromiso del tejido pulpar que algunas veces se proyecta dentro de la cúspide en talón.9,10,11

Reporte de caso

Este caso de talón cuspídeo corresponde a un paciente que llegó a la clínica de la Facultad de Ciencias de la Salud en la Universidad Autónoma de Baja California, el cual cumplió con los requisitos para poder ser atendido en la clínica de odontopediatría I, continuando con las normas de llenado de documentación requerida, dicha documentación es la historia clínica general, historia clínica específica, juego radiográfico y consentimiento informado. 

Presentación del caso 

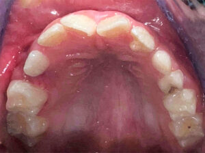
Paciente masculino de 7 años de edad acude a consulta odontológica, el cual al momento de su inspección clínica se percibe que presenta una anomalía dental en la pieza 22 (incisivo lateral superior izquierdo), la cual es identificada como talón cuspídeo de tipo 2 (semitalón), en este caso se describe como una proyección de forma cónica desde el tercio cervical del cíngulo no tan prominente hacia el borde incisal (Figura 2-3).

En la inspección radiográfica no se observa la presencia de cuernos pulpares accesorios, la pieza 22 se encuentra en estadio de formación de Nolla #9 (Figura 4). 

Conclusión

La evaluación clínica del paciente pediátrico en proceso de crecimiento y desarrollo craneofacial, debe hacerse de manera integral tomando en cuenta un buen diagnóstico y repercusión clínica de las alteraciones dentarias. La detección temprana de alteraciones como el talón cuspídeo, permite prevenir complicaciones posteriores, mejorar el pronóstico y proporcionar una mejor atención odontopediátrica.