Suscríbete

Tratamiento ortodóncico en paciente clase II con fluorosis dental


Tratamiento ortodóncico en paciente clase II con fluorosis dental

Martha Sofía Evilla. Residente de primer año de la maestría Ortodoncia y Ortopedia Maxilofacial en el Centro de Estudios Superiores de Ortodoncia CESO.

Beatriz Gurrola Martínez. Profesora del CESO y profesora titular C en la carrera de Cirujano Dentista de la Facultad de Estudios Superiores Zaragoza de la UNAM.

Adán Casasa Araujo. Director del CESO.

Resumen


Se presenta un paciente de 25 años de edad, es diagnosticado como clase II esquelético con fluorosis dental Tf4 y Tf7, las relaciones molares clase II molar y canina bilateral, apiñamiento severo superior e inferior. Tratamiento macroabrasión, microabrasión modificada, expansión, arenado de las superficies dentales, alineación, nivelación, distalización, strippping, detallado, blanqueamiento dental, rehabilitación protésica y retención. Aparatología utilizada: tornillo expansor sagital de 3 vías, brackets prescripción Roth 0.022 x 0.028, bandas en 6's y 7's y retenedores circunferenciales con cinturón vestibular superior e inferior tiempo de tratamiento activo 1 año y 8 meses.

Palabras claves: fluorosis, TF4, TF7, clase II, expansión.


En México, la variabilidad de los grados de fluorosis depende de la región geográfica. En 2002, la secretaria de salud de México declaró que la fluorosis dental era un problema de salud pública en el país. Entre los estados más afectados se encuentra: San Luis Potosí,1,2 Aguascalientes3,4 y Durango.5,6

Thylstrup y Fejerskov (1978) modificaron la clasificación de Dean mediante el Índice TD basados en los rasgos clínicos histopatológicos de la fluorosis dental en dientes en 10 grados.7-10 En los primeros grados (Tipo de Fluorosis TF 1, 2 y 3), el grabado con ácido fosfórico no presenta la misma calidad, puesto que en las áreas donde se presenta hipocalcificaciones no actúa correctamente. Esto provoca zonas de ausencia de grabado a partir de los grados TF4 al TF9 el grabado ácido en el esmalte es prácticamente nulo y no cuenta con zonas retentivas para una correcta adhesión, lo que causa desprendimiento de cualquier restauración o de los brackets con la superficie de esmalte grabado.11

En dientes fluoroticos de grado TF1 al TF3 se recomienda efectuar una microabrasión modificada de la superficie, seguida por la aplicación de hipoclorito de sodio al 5% durante un minuto, antes de efectuar el grabado ácido.11 Los pacientes clases II suele ser los de mayor peligro para la ATM, pues combinado con mordida profunda hay una restricción del desarrollo de la mandíbula que es llevada hacia atrás y arriba causando desplazamiento y compresión del disco articular, el tratamiento es llevar a división a para liberar la mandíbula.12

El aparato sagital aumenta la longitud del perímetro del arco moviendo los dientes en grupo en sentido sagital, puede ser uni o bilateral, puede ser utilizado para preparar el caro para Bionator. Sagital I: produce 80% distalización posterior sagital II: produce 80% adelantamiento de la premaxila, su indicación de activación es de 1 a 2 activaciones por semana.13

Caso clínico

Se presenta un paciente de 25 años de edad. Radiográficamente se observa clase II esquelética, hiperdivergencia (Figura 1), en la fotografía extraoral de sonrisa el paciente se muestra con apiñamiento severo y la mordida profunda (Figura 2).

Figura 1. Radiografía lateral de cráneo.
Figura 1. Radiografía lateral de cráneo.
Figura 2. Sonrisa.
Figura 2. Sonrisa.

Estudios de inicio

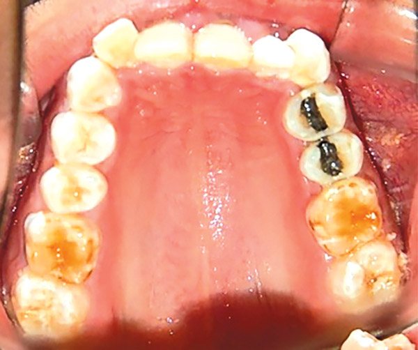
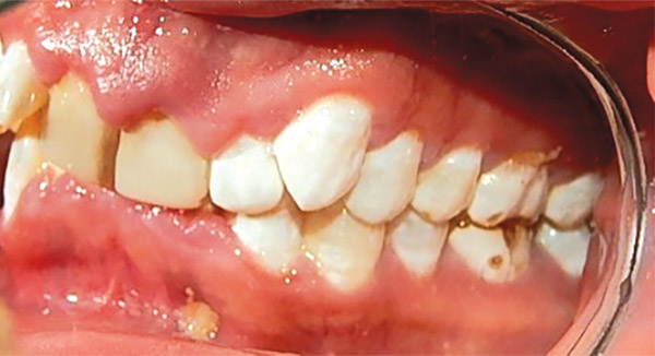
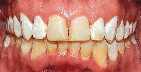
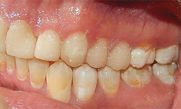
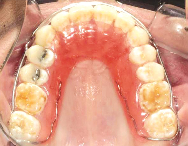
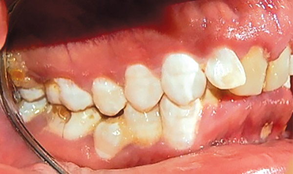
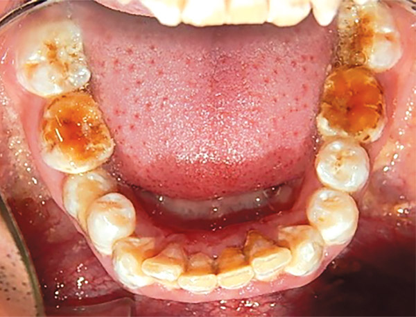
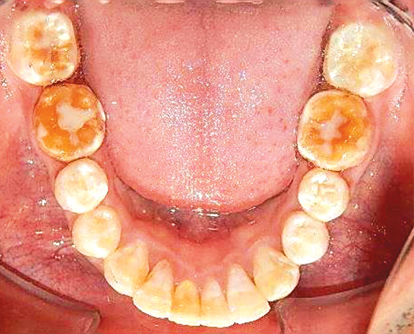
En las fotografías intraorales se muestra la fluorosis dental Tf4 y Tf7, las relaciones molares clase II molar y canina bilateral (Figura 3 y 4), el apiñamiento severo superior e inferior, con el órgano dental 35 en infraoclusión. El overbite aumentado y las líneas medias dentales no son coincidentes (Figura 5), las formas de arco superior e inferior son cuadradas (Figura 6 y 7).

Figura 3. Intraoral derecha.
Figura 3. Intraoral derecha.
Figura 4. Izquierda.
Figura 4. Izquierda.
Figura 5. Frente.
Figura 5. Frente.
Figura 6. Oclusal superior.
Figura 6. Oclusal superior.
Figura 7. Inferior.
Figura 7. Inferior.

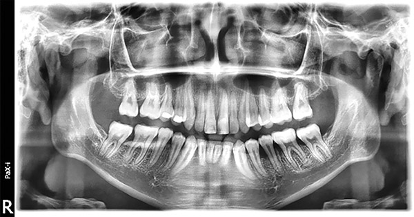
En la radiografía panorámica se observan 28 dientes permanentes presentes con el 35 en posición hacia mesial (Figura 8).

Figura 8. Radiografía panorámica.
Figura 8. Radiografía panorámica.

Tratamiento

Se realizó una expansión dentoalveolar superior mediante un expansor con tornillo de 3 vías con efecto sagital y transversal, (Figura 9), preparación de la superficie dental para el bondeo de brackets por medio del arenado con partícula de sílice 60 μm a 40 lbs de presión con una angulación de 45° por un tiempo 3 a 4 segundos por diente, (Figura 10 y 11), y una fase ortodóncica con brackets prescripción Roth 0.022 x 0.028, tubos bondeables en 6's y 7's. Para la corrección del apiñamiento con alineación y nivelación utilizando una secuencia de arcos NiTi 0.014, 0.016 0.020 superior e inferior, NiTi 0.017 x 0.25 acero 0.018, 0.020 superior e inferior y stripping antero inferior. Para obtener la clase II molar y canina bilateral con mecánica de elásticos dobles bilaterales clase II largos con elásticos 1/8 6 ½ oz y stripping postero superior, para la corrección de la línea media con el uso de elásticos de línea media de 3/16 6 ½oz. La obtención del adecuado overjet y overbite se logró mediante el stripping, las cadenas intramaxilares y elásticos intermaxilares. Se obtuvo la máxima intercuspidación, paralelismo radicular y oclusión funcional en la fase de detallado mediante arcos de acero 0.017 x 0.025 y 0.019 x 0.025 superior e inferior, con dobleces de primer, segundo y tercer orden; restauración protésica en los dientes con fluorosis se trabajó mediante el tallado, la toma de impresiones, (Figura 10 y 11) y la colocación de la resina termocurada.

Figura 9. Aparato expansor.
Figura 9. Aparato expansor.
Figura 10. Arenado de la superficie.
Figura 10. Arenado de la superficie.
Figura 11. Arenado terminado.
Figura 11. Arenado terminado.

Estudios de progreso

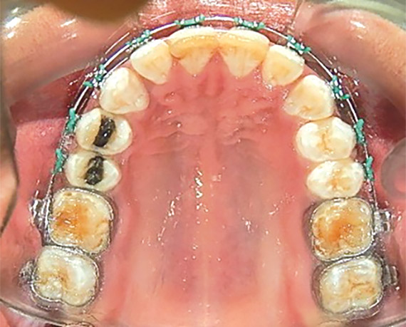
Se observa en las fotografías intraorales la mecánica utilizada con los brackets y al paciente con mejor alineación y nivelación dental (Figura 12-14).

Figura 12. Intraoral derecha.
Figura 12. Intraoral derecha.
Figura 13. Frente.
Figura 13. Frente.
Figura 14. Izquierda.
Figura 14. Izquierda.

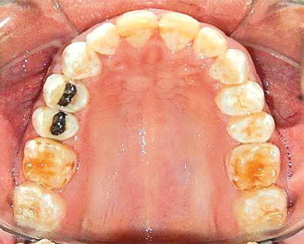
Respecto a las formas de arco superior e inferior que eran cuadradas en esta fase ya son ovales (Figura 15 y 16).

Figura 15. Oclusal superior.
Figura 15. Oclusal superior.
Figura 16. Inferior.
Figura 16. Inferior.

Estudios finales

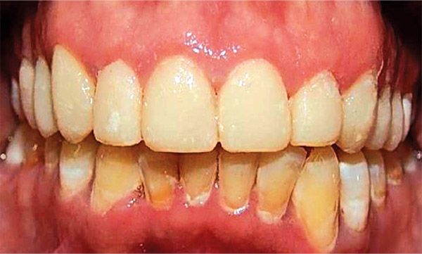
Observamos en la radiografía lateral de cráneo que continúa siendo un paciente clase II, hiperdivergente y no presenta crecimiento (Figura 17) y en la fotografía extraoral una sonrisa armónica (Figura 18).

Figura 17.
Figura 17.
Figura 18.
Figura 18.

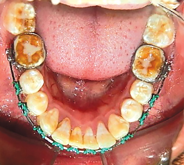
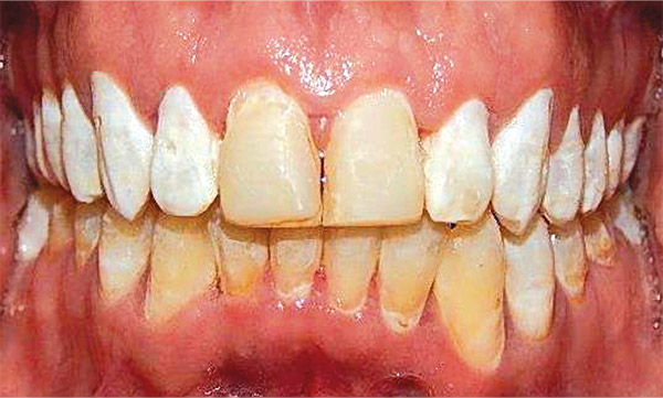
Respecto a los estudios finales intraorales, en las fotografías podemos observar la coincidencia de líneas medias dentales (Figura 19), la clase I molar y canina bilateral (Figura 20 y 21).

Figura 19.
Figura 19.
Figura 20.
Figura 20.
Figura 21.
Figura 21.

Finalizado el tratamiento se realizaron carillas provisionales en el maxilar superior de los diente 15, 14, 13, 12, 11, 21, 22, 23, 24, 25 para su posterior rehabilitación (Figura 22) el overjet y overbite adecuado.

Figura 22a. Figura 22b. Figura 22c.
Figura 22.

En la vista oclusal podemos ver la corrección del apiñamiento superior e inferior y las adecuadas formas de arco (Figura 23).

Figura 23a. Figura 23b.
Figura 23.

En la radiografía panorámica, se muestra 28 dientes permanentes el correcto paralelismo radicular, la verticalización de 35 (Figura 24).

Figura 24. Rx. panorámica.
Figura 24. Rx. panorámica.

Resultados

El tiempo total del tratamiento fue de un 1 y 8 meses, se lograron los objetivos planteados: se eliminar las manchas, se mejoró el color de los dientes. Se hizo la expansión dentoalveolar superior, Se preparó la superficie dental para el bondeo de brackets, se corrigió el apiñamiento maxilar y mandibular, se obtuvo la clase I canina y molar bilateral. Las líneas medias dentales coinciden, el overbite y overjet mejoró (Figura 25).

Figura 25a. Figura 25b.
Figura 25. Fotos comparativas intraoral de inicio y final.

Respecto a la corrección de la sonrisa del paciente (Figura 26), con la restauración de protésica, cabe señalar que los dientes con fluorosis grado 1 tienen un color muy blanco, motivo por el cual la resina no pudo igualar el color, pero con las carillas ya se asemejó la tonalidad de los dientes. Finalmente la estabilidad del postratamiento a cargo de un retenedor circunferencial con cinturón vestibular superior e inferior (Figura 27).

Figura 26a. Figura 26b.
Figura 26. Comparación extraorales inicio y final.
Figura 27a. Figura 27b. Figura 27c.
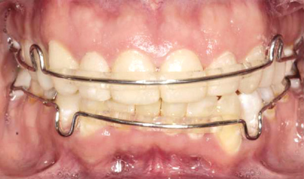
Figura 27. Retenedores circunferencial con cinturón vestibular superior, inferior en oclusión.

Discusión

Los pacientes con fluorosis dental presentan disminución de la adhesión de brackets. Una alternativa eficiente, como la empleada en nuestro paciente, fue la técnica de desproteinización del esmalte con hipoclorito de sodio al 5% durante un minuto. Los ortodoncistas deben conocer y saber clasificar la fluorosis dental, según el índice T. F. para ofrecer a los pacientes el tratamiento oportuno, determinar la incidencia de fluorosis según la zona donde ejerce su profesión.

Según el grado de severidad de fluorosis debemos evaluar el tipo de tratamiento, la microabrasión para la preparación del esmalte fue de gran importancia para la correcta adhesión de los brackets.13,14 Este sistema de restauración está indicado desde el TF grado 4 y posterior a la microabrasión en algunos sectores de las coronas y en los grados TF7 y 8 con coronas o carillas estéticas, en este caso se utilizó la técnica de restauración indirecta.

La expansión dentoalveolar es un tratamiento válido para pacientes sin crecimiento con apiñamiento dental severo o moderado por problemas transversales. Se logró la correcta adhesión bracket-esmalte, llevando al paciente a una oclusión funcionalmente estable preservando la integridad del periodonto, mejorando la sonrisa, corrigiendo el apiñamiento maxilar, con resultados estéticos. Pero este tratamiento dependerá del 100% de la colaboración del paciente ya que tendrá que acudir a las activaciones de una forma adecuada y pertinente.

Conclusión

Una excelente alternativa para la correcta preparación de la superficie dental en paciente con fluorosis dental, es la desproteinización de la superficie. Por otra parte el tratamiento en pacientes sin crecimiento con apiñamiento severo y si su biotipo lo permite es la expansión dentoalveolar maxilar con un tornillo de expansión sagital, esto donde la corrección del apiñamiento no solo puede lograrse por medio de suavizado interproximal y proclinación dental, por el grado de apiñamiento dentario.


Referencias

  1. Loyola R, J. P et al “Fluorosis en dentición temporal en un área con hidrofluorisis endémica”. Salud Pública México Mayo-Junio de 2000.Vol. 42. Núm 3. Cuernavaca.
  2. Díaz-Barriga F, Leyva R, Quistian J, Loyola Rodríguez JP, Pozos A, Grimaldo M. Endemic fluorosis in San Luis Potosí, México. IV. Sources of fluoride exposure. Fluoride 1997;30:219-222.
  3. Trejo VR, Bonilla PA. Exposición a fluoruros del agua potable en la ciudad de Aguascalientes, México. Pan Am J Public Health 2001;10(2):108-113.
  4. Instituto Nacional de Estadística, Geografía e Informática. XII Censo General de Población y Vivienda 2000. Aguascalientes, Aguascalientes, México: INEGI; 2001.
  5. Alarcón HMT, Martín D IR, Trejo V R, Rodríguez D S. Well water fluoride, dental fluorosis, and bone fractures in the Guadiana Valley of Mexico. Fluoride 2001;34(2):139-149.
  6. Ortiz D, Castro L, Turrubiartes F, Milan J, Díaz Barriga F. Assessment of the exposure to fluoride from drinking water in Durango, Mexico, using a geographic information system. Fluoride 1998;31(4):183-187.
  7. Dean, H. “Classification of mottled enamel diagnosis”. Journal of American dental association. Agosto de 1934. 21:1421-1426
  8. Dean, H. y E. Elvove “Some epidemiological aspecto of chronic endemic dental fluorosis”. American journal of public health and the Nation’s health. 1936. 26(6): 567-75
  9. Fejerskov, O., A. Thylstrup y M. Larsen. A”Clinical and structural features and posible pathogenic mechanisms of dental fluorosis”. Scandinavian Journal of dental Research. 1977. 85: 22-30
  10. Thylstrup, A. y O. Fejerskov. “Clinical appearance of dental fluorosis in permanent teeth in relation to histologic changes”. Community dentistry oral epidemiology. Noviembre de 1978. 6(6): 315-28
  11. Espinosa R., Valencia R., “Fluorosis Dental. Etiología, Diagnostico y Tratamiento”. Vol. II. Capítulo 9. Pp: 153-171.
  12. Witzig, J., Spahl, T. The clinical management of basic maxilofacial orthopedic appliances. 1991. Vol. III. Pp 27-73
  13. Espinosa, R “Tratamiento de la Fluorosis dental y su relación con los diferentes grados”. Odontología Actual, 8. Año II. 1995. 7-15 (1995b).
  14. Espinosa R., Valencia R. Ceja I, 2018 “Fluorosis Dental. Etiología, Diagnostico y Tratamiento”. Vol. II. Editorial Odontología Books. México. Capítulo 7. Pp: 107-136